
入れ歯やブリッジは、残っている健康な歯に負担をかけてしまうというデメリットがありますが、インプラントはこの欠点を補うことができる治療法です。
インプラント体(人工歯根)を歯槽骨(歯を支えるあごの骨)に埋め込むことによって、歯の根っこの役割を代替して歯を固定するので、周りの歯に負担をかけることがなく、他の治療と比べて最も元の歯に近い役割を果たせる治療法です。
ふれあいファミリー歯科では
オステム社のインプラントを使用しております
オステムは世界70か国以上で使用されている、韓国のインプラントメーカーです。
アジアでシェアが最も多く、アジア人に適したインプラントです。
インプラント3大メーカーと言われるブローネマルク・インプラント(Nobel Biocare、Biomet 3i)、ストローマン・インプラント(Strauman、ITI)、アストラ・インプラント(Dentply)のインプラントのそれぞれに優れた特徴を取り込んだインプラントです。

インプラント治療は外科手術となるため、滅菌をしっかり行った手術室で行います。
また、生体管理モニター、AED、酸素ボンベを常備し、
非常勤麻酔医または認定麻酔医チームとの連携をとりながら行います。


生体管理モニター

AED

酸素ボンベ

院内除菌水治療システム
麻酔科
との連携
静脈内鎮静法とは、鎮静剤を静脈に投与することでリラックスして眠りにつく方法です。全身麻酔とは異なり、呼びかけに反応することができる程度の意識は残ります。
施術は麻酔専門医が行い、手術中は全身状況の監視を行いながら投与を行いますのでご安心ください。治療が不安な方はぜひ一度ご相談ください。


インプラント治療において、口腔内の状態が把握できていないと神経や血管を傷つけてしまう可能性があります。そのため、術前にはCT撮影や模型での噛み合わせ分析などを行っています。
様々な資料や歯科用デジタルレントゲンに加えて、3DCT画像による手術部位の分析を徹底することで、より安心・安全にインプラント治療を行うことができます。
どんなに的確なインプラント手術を行ったとしても、メンテナンスを怠っていると、インプラントを埋め込んだ周囲が炎症を起こしてしまいます。
歯周病予防や、残っている歯を健康に保っていくためにも、治療後はメンテナンスで通院が必要です。
インプラントの寿命をより長くするために、2カ月~半年に1度は必ずご来院ください。

一人ひとりの要望に合わせた
インプラント治療を

抜歯と同時にインプラントを埋入する
抜歯即時インプラントにも対応
抜歯即時インプラントとは、抜歯と同時にインプラントを埋入する方法です。通常のインプラント手術では、抜歯後に穴がふさがるのを待ってから治療を開始しますが、抜歯即時インプラントでは抜歯した当日にインプラント埋入までを行います。外科処置の回数を減らし、治療期間の短縮をはかります。抜歯即時インプラントに対応ができない場合もございますのでぜひ一度お問い合わせください。
また、コストを抑えた安いエコノミープランもございますのでご相談ください。
当院では一人一人にあったインプラント治療をご提案いたします。
骨の量や高さを理由に
他院で断られてしまった方へ
インプラント治療には、顎の骨量や高さが大きく関係するため、治療ができないと断られる場合もありますが骨造成や骨移植を行うことで、治療が可能になるケースがあります。
患者さん一人ひとりの骨の状態をしっかりと診断し、最適な治療をご提案させていただきます。
骨の移植・再生術

サイナスリフト同様に、インプラントを埋め込むのに十分な骨の高さが不足している場合に行う方法です。

インプラントを埋め込むのに十分な骨の高さが不足している行う方法です。上顎洞の底部に骨補填材を埋入して骨再生を行う方法です。

虫歯や外傷などで歯が抜けてしまったり、歯周病などによって痩せてしまった歯槽骨を再生させ、インプラントを埋入するために必要な骨幅や高さが足りない場合に採用される治療法です。
01カウンセリング
お悩みや希望をお伺いして、患者さんにとってより良い治療をご提案します。インプラント治療の内容や注意点などもご案内します。
当院ではインプラント治療の相談を行っております。
まずはお気軽にご相談ください。
02精密検査
インプラント治療を安全に行うためには、事前検査はとても大切です。患者さんのあごの骨や周囲の組織の状態を詳細に検査して、より安全な治療計画を立てます。検査内容としては、歯科用CT撮影、口腔内写真、歯周病検査、模型検査などになります。
03治療計画のご説明
患者さんのお口の状態と治療計画をご説明します。治療内容に選択肢がある場合は、それぞれのメリットやデメリットもお伝えしますので、今後の治療を一緒に考えていきましょう。お口の中の環境が良くない場合は、先に治療を済ませる場合があります。
04インプラントの埋入
治療は局所麻酔下で行います。意識がなくなるわけではないのでご安心ください。1回法の手術では、埋め込んだインプラントの上部に蓋をして、あごの骨との結合期間を設けます。骨の状態が良い場合は、当日に仮歯を入れられることもあります。
05人工歯の装着
インプラントとあごの骨が結合する期間(3~6か月)を置いて、人工歯を作製します。インプラントに取り付けた蓋を外してアバットメント(人工歯の土台)を取り付けて、人工歯を被せて治療は完了です。
詳しくはこちら
06メインテナンス
インプラントは天然の歯と同じようにあごの骨に植立しているため、ケアが行き届かないと歯周病のような病気になります。(インプラント周囲炎)日常のセルフケアと共に、定期的なメインテナンスをお勧めしています。
インプラント20年保証| インプラント | 入れ歯 | ブリッジ | |
|---|---|---|---|
![]() |
![]() |
![]() |
|
| 安全性 | しっかりとした安定性がある 半永久的に使用可能 |
定期的な調整が必要 | ほどほどに安定性がある |
| 耐用年数 | 10年以上 | 数年経過後に変える場合がある | 数年ほど |
| 見た目の美しさ | 天然歯と同等 | やや劣る | 天然歯と同等 |
| 口内の違和感 (個人差あり) |
少ない | 負担が大きい | 負担が大きい |
| 他の歯への影響 | しっかりとした安定性がある | バネが目立つ入れ歯が多い | 比較的目立ちにくい |
| 噛める力 | 違和感なし | 違和感あり | 違和感なし |
| 手術 | 違和感なし | 無し | 無し |
| 治療期間 | 半年~1年 | 比較的短期間 | 比較的短期間 |
| 治療後の問題点 | 歯周病になりやすいが 定期健診で防げる |
定期的な入れ歯の調整が必要 | 隣の歯が弱くなり、むし歯になりやすい |
| 費用 | 自費診療のため高価 | 保険適用 | 保険適用 |
| 施術内容 | 右下の残存乳歯が保存困難なため抜歯。前後の歯が健全なため削らずに済むインプラント治療へ。 |
|---|---|
| 治療期間 | 8ヶ月(抜歯後治癒期間含) |
| 治療費 | 約40万円(ハイブリッドセラミック冠) |
| 副作用・リスク | インプラント治療は手術を伴います。腫れや痛みが少なくなるよう努力をしておりますが、多少の腫れや痛みが出ます。しかし、痛み止めで抑えられる程度ですのでご安心ください。 |
※表示は全て税込表示です。
| 施術内容 | 右下奥歯3本欠損。入れ歯を使っていたが金具が折れて数年使っていない。金具のない目立たない入れ歯を希望していたが、固定式で安定したインプラント治療へ。インプラントは2本、冠は3本ブリッジ。 |
|---|---|
| 治療期間 | 4ヶ月 |
| 治療費 | 約68万円(チタンブリッジ) |
| 副作用・リスク | インプラント治療は手術を伴います。腫れや痛みが少なくなるよう努力をしておりますが、多少の腫れや痛みが出ます。しかし、痛み止めで抑えられる程度ですのでご安心ください。 |
※表示は全て税込表示です。
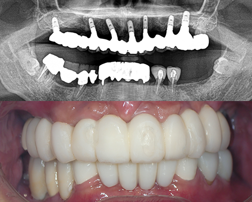
| 施術内容 | 前歯は虫歯や歯の動揺が大きく、奥歯も虫歯や歯根破折のため保存困難。左上1本以外抜歯し、骨が足りない部位は骨増生を行いインプラント治療へ。通常の入れ歯と違いインプラントを固定源とするため、安定性がかなり高いです。(治療期間中は入れ歯を使用) |
|---|---|
| 治療期間 | 約1年半(抜歯後治癒期間含) |
| 治療費 | 約280万円(プラスチック前装冠) |
| 副作用・リスク | インプラント治療は手術を伴います。腫れや痛みが少なくなるよう努力をしておりますが、多少の腫れや痛みが出ます。しかし、痛み止めで抑えられる程度ですのでご安心ください。 |
※表示は全て税込表示です。
| インプラント相談 | 無料 |
|---|---|
| インプラント検査料 診断用CT | 55,000円 |
| 一次手術(インプラント体埋込) | 176,000円 |
| ワンガイドシステム併用 | 11,000円 |
| 二次手術(土台/チタン製装着) | 11,000円 |
| 術後検査(CT・仮歯装着/調整) | 33,000円 |
| 最終補綴処置(ジルコニア)セメント固定 | 132,000円 |
| 骨構造(GBR法) | 88,000円 |
| 骨構造(ソケットリフト) | 66,000円 |
| 静脈内鎮静法 | 88,000円 |
※表示は全て税込表示です。
当院は、現金または各種クレジットカードでのお支払いが可能です。

VISA|MasterCard|AMERICAN EXPRESS|JCB|Diners|
インプラントの治療費は医療費控除の対象となることがあります。 医療費控除とは、自分自身、もしくは生計を一にする配偶者やその他の親族のために1年間で10万円以上の医療費を支払った場合、一定の金額を所得金額から控除できる制度です。(その年の1/1~12/31までに支払った医療費であること)領収書や通院の際にかかった経費の領収書などは保管しておきましょう。
食べるという行為は、とても大切な生きる楽しみの一つだと思います。「食べたいものを自由に食べて、よりよい人生を送っていただきたい」、私たちはそのような気持ちで皆さんの歯を一生守っていきたいと考えています。
そのために皆さんのお口の中が現在どうなっているのか、また将来どんな不安があるのかを出来る限りわかりやすくご説明します。
私たちが目指すのは「全ての患者さんが、一生自分の歯でおいしく食事ができること」です。
平成17年3月 東京歯科大学卒業
平成17年4月 医療法人社団SPI 小宮歯科診療室勤務
平成21年4月 ふれあいファミリー歯科 勤務
平成21年6月 ふれあいファミリー歯科 院長
平成17年4月 SSG会員(Saturday dental Study Group)
平成18年9月 (社)日本歯周病学会会員
平成21年7月 AQBインプラント アドバンスコース受講
平成22年4月 インプラテックス主催 インプラント外科 総合コース ポストグラデュエートコース修了
平成26年7月 特定非営利活動法人POIC®研究会会員
平成26年7月 特定非営利活動法人POIC®ホームケアアドバイザー取得
平成30年11月 一般社団法人プラズマレーザー研究会会員

〒144-0034
東京都大田区西糀谷2丁目26-4
03-3745-1460
| 月 | 火 | 水 | 木 | 金 | 土 | 日 | |
|---|---|---|---|---|---|---|---|
| 09:00~17:00 | ○ | ○ | ○ | ○ | ○ | ○ | ▲ |
| 18:00~20:00 | ○ | ○ | ■ | ○ | ○ | ○ | / |
■水曜日は19:00まで
▲ 日曜日は9:00~16:00まで(月3回)
休診日・診療時間変動あり
詳細はカレンダー・お知らせをご覧ください。
大鳥居駅西口より徒歩7分
蒲田駅5番乗り場から【蒲36】系統森ヶ崎行き乗車、
南糀谷バス停下車徒歩1分
骨の成長が終わる20歳前後の方が対象ですが、個人差があります。高血圧症や心臓疾患等の循環器系疾患、喘息等の呼吸器系疾患、糖尿病や骨粗鬆症等の疾患、腎臓や肝臓の機能障害がある方は治療を受けられない場合がございます。
日頃しっかりとお手入れをしていただき、歯科医院でのメンテナンスもしていただければ、10年以上使用していただけます。
インプラントを埋入する部位や個人差がありますが、4ヶ月~7ヶ月程度の治療期間が必要となります。
インプラント手術時は、麻酔を行いますので手術中の痛みはほとんどありません。
ただ、手術後に麻酔が切れて痛みや腫れが出ることがあります。痛みがひどい場合は、鎮痛剤をお出ししておりますのでお気軽にお申し付けください。
患者様のプライバシーを尊重し個人情報に対して十分な配慮を行うとともに、大切に保護し、適正な管理を行うことに努めております。
【個人情報の利用目的】
a)患者様のご要望に合わせたサービスをご提供するための各種ご連絡。
b)お問い合わせいただいたご質問への回答のご連絡。